
Next-Generation Ultrasound Analysis
We are revolutionizing tissue perfusion analysis through advanced analysis of 3D sonogram using AI based standalone software
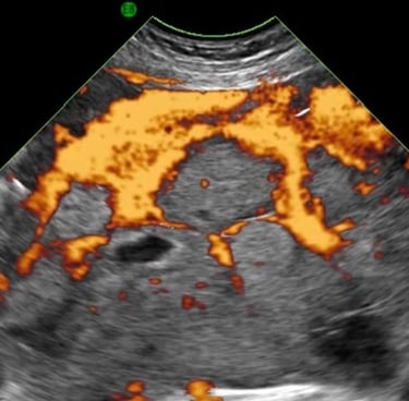
New Diagnostic Insights
Our software-only solution offers superior diagnostic insights into multiple disease states. Our technology transforms traditional diagnostic workflows to support faster, better clinical decision-making at lower cost.
Automated Diagnostics
Our technology provides validated and cost-effective quantification of tissue perfusion, without contrast, enhancing diagnostic capabilities in obstetrics, oncology, and nephrology for improved patient outcomes.





Our innovation
We characterize tissue perfusion to give functional insight into tissue in the placenta and kidney and angiogenesis in cancer.
Better
Higher accuracy than the current standard of care and / or less invasive.
Faster
Point-of-Care diagnostic allowing quicker workflows and earlier diagnosis
Lower cost per test and reduced costs resulting from over diagnosis
Lower cost

Dr Jan Wolber, Global Product Leader Digital, GE Healthcare
"The reliable and accurate identification of conditions such as Fetal Growth Restriction (FGR) addresses a significant unmet medical need. Your solution based on ultrasound imaging and theOxNNet Toolkit has the potential to truly transform medical practice."


Oxailis Ltd
Company number 16239918
Registered Office: 8 King Edward Street, Oxford, UK OX1 4HL
Tel: +44 (0) 7496896782
© 2025. All rights reserved.
Oxailis products are not yet regulated for sale in the United States

Contact us
Keep updated
